



![]()
![]()
![]()
![]()

学校検診の目的は、子供の発育途上の口腔形態と機能を健全に育成し、心身ともに健康な子どもを育てる為、という事にあります。
幼稚園から高等学校までの間は、乳歯列から永久歯列へと歯列・咬合が変化します。
ですので、学校歯科保健の対象時期には、歯列・咬合の状態が常に変化しているといってもよいほどです。主に歯科検診時には、その時々の歯列・咬合の状態が将来の健康にどのようにかかわるかについて親御さんに理解と認識を促す事になります。しかし、歯並びの悪さが原因の顎の関節の痛みや、開口障害(お口ぽかん、口が常に開いている)などの症状がある場合には、 精密検査や治療を勧めることもあります。
また歯並びの悪さが原因となる習癖(悪い癖)などに対しては、 症状が悪くならないよう保健教育上の指導を行うことが優先されます。矯正歯科治療に関しては 歯列・咬合の状態から将来に健康障害が心身に及ぶと予測される場合には、内容を十分に説明して適当な医療機関で精密検査を受けるよう担当歯科医師から助言があります。 学校検診で指摘された事に関しては、当院でも治療・経過観察を行いますので、検診の時に渡された健診用紙をご持参の上、お越し下さい。
健診用紙は当日にご返却致します。
![]()
永久歯への生えかわり時期は個人差がありますが、早い子で5歳くらいから下の前歯が抜ける子もいます。グラグラしてきたら大人の歯デビューが近いかもしれません。
![]()
歯がグラグラしてきたら、、歯科でレントゲン撮影をします。
本来、生える歯の数がきちんと有るか、どんな生え方をしてくるかなど予測を立てる事が可能です。
矯正歯科医院は、主に歯並びを治療する所ですが、歯の生え方や将来歯の矯正が必要となった時に、良い開始時期を見極める為の経過観察をする専門の医院でもあります。この経過観察こそが、矯正治療にとって非常に重要な事となります。ご相談、レントゲン撮影を含めて20分程度で終了します。是非お越し下さい。
歯が生え変わって、これからの歯並びがどうなるのかな??とご心配な方はこの機会にご相談下さい。
よくあるご質問とご相談を年齢ごとに分けました。
※反対咬合は直ぐに相談下さい。
年齢ごとに歯の症状やお悩みも違い個人差があります。矯正治療の開始時期を見極める為にも、前歯が生え変わったら、まずは歯並び検診をお受け頂く事をお勧め致します。

矯正治療とは、矯正装置を使用してゆっくりと歯を動かし、理想的な噛み合わせにする治療法です。
したがって、治療期間はどうしても年単位にわたってしまいます。患者さまに安心して通院していただけるには、専門医としての経験・技術だけでなく、コミュニケーションが大切であると考えております。動的治療終了時、綺麗になった歯並び・噛み合わせを一緒に喜べるだけでなく、長い治療期間中も楽しく通える診療を心がけております。
矯正治療とは、「患者さまの状態に合わせて治療手順や目標を設定し、おこなっていきますので、治療期間や装置が異なってきます。」ので、時間にゆとりを持って、相談のご予約をお取りください。
![]()
矯正治療はむし歯などの一般の治療と違って、診療所に来たときだけが治療なのではありません。診療所を訪れるのは装置を作製したり、調整をするためであって、家にいる時も矯正の治療は継続しているのです。
特に患者さんが幼い場合には保護者の方の積極的な協力が必要です。一緒に治療を受けるような気持ちで応援してあげて下さい。
・装置の破損・紛失
このようなことが起こった場合はすぐに連絡していただき、予約日の変更をしてください。長い間放置しておきますと治療が遅くなってしまいます。
・来院日時のお約束
矯正治療は、歯を動かすための作用を考慮して次回のご予約をお取りしています。歯を動かすための力が次の通院日までにはほとんどなくなっているため、ご予約をキャンセルされ、そのまま にしておきますと治療期間が長引き、よい治療成績は得られません。どうしてもお約束の日時に来院できない時は、お早めにご連絡下さい。
・取り外しができる装置の装着時間について
取り外しのできる装置は決められた時間必ず使用してください。 保定装置(リテーナー)は一日中、またヘッドギアー、 チンキャップ、 顎間ゴムなどは決められた時間を必ずお守り下さい。
・治療後の保定装置について
治療後の保定装置の使用不足は、後戻りの原因の一つとなりますので、しっかりと装置を付ける様にご協力お願いします。

~初期治療における治療方針~
初期治療では顎の成長がある今の時期に、その成長を利用して不正咬合の原因を改善する事によって、将来、歯を抜く事なく今の状態を治す事が可能になってきています。
乳歯が残っている成長期前から、初期治療を始めることにより、歯を抜くことなく治療することが可能になってきます。
矯正中でもお受験のご都合に合わせて、ワイヤーの装置の期間を短縮させる事が可能です。
もし、心配な事がありましたら、お気軽にご相談下さい。
![]()
永久歯が生え揃っていない時期(混合歯列期)の治療
この時期に、ある程度歯並びを整えておくことで、永久歯が生え揃ってから固定式の矯正装置(マルチブラケット装置)をつけなくても、ある程度はきれいな歯並びにすることができます。取り外すことができるものや固定式のものなど、使用する装置はさまざまです。
顎の骨を拡げる取り外し気の装置を付けて、歯を並べるスペースを作ります。
![]()
初期治療後に行う永久歯が生え揃ってからの治療
年齢的には6年生・中学生以上が対象です。基本的には固定式の矯正装置(マルチブラケット装置)などを使用して治療を行います。

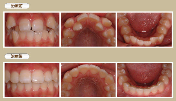
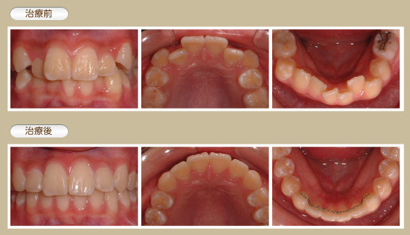
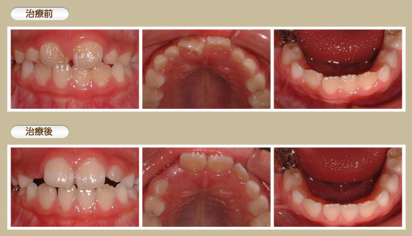
上の図の様に、初期治療(7歳~12歳)の間に治療を行う事で、本格的矯正治療に進まずに済むお子さんもいらっしゃいます。この初期治療の段階で矯正を始める事がとても大切です。図の様に、初期治療だけで済んだ場合は、矯正治療費用は25万円となります。(診断料など別途)。自分のお子さんの歯並びを綺麗にしてあげたい、けれど治療にかかる費用を抑えたい・・・という親御さんは多くいらっしゃいます。
この時期に矯正専門医院で治療時期を見極めることが、経済的にも負担なく治療をスタートできるという事になります。
※治療例には個人差があり、全ての治療がこの様な例になるとは限りません。

上下の前歯が永久歯に生え変わり、下のような状況ならば、少しお急ぎください。
上の前歯を治療するだけで、下の前歯の歯並びも改善する場合があります。



大人の歯(永久歯)への萌え変わりが、完成に近づいている状況だと思われます。したがって、治療方法の選択、可能・不可能がだいぶはっきりとしてくると思われます。
相談時に何を目標とするかを明確にしていきたいと思います。
矯正中でも部活動(スポーツ、吹奏楽など)、お受験・留学などがありましても、ご都合に合わせて治療の調整をしますので、積極的に頑張って下さい。もし、心配な事がありましたら、お気軽にご相談下さい。
毎年6月に行われている学校歯科検診が10月より順次再開しています。
歯並びのご相談は、紙を持参してご来院ください。
就職活動や入試にまたがらないように、歯並び治療をしたい。就職までに綺麗な歯並びで第一印象をアップさせたい!という方は是非ご相談下さい。将来の治療計画を立てて診断します。


歯が生え変わって、これからの歯並びがどうなるのかなとご心配な方はこの時期にまずはご相談下さい。
ブラケット装置の装着後は多少の歯全体がぎゅっと締め付けられる感じはあります。2,3日するとおさまりますが、我慢できない痛みの場合はご来院頂き和らげるように処置しますのでご安心下さい。
矯正の装置が入ると、十分に歯磨きをすることが困難になります。ですので、装置を入れる前に十分な歯磨き指導を行います。お口の中の爽快感を体感して頂き、複雑な装置を入れてもその爽快感を維持していただこうと指導を行います。最近では、フッ素入りの歯磨き剤がほとんどであり、虫歯の発生はかなり低くなってきましたが、粘着性のある食物は極力避けて下さい。月1度の調整来院の際も必ずむし歯チェックを行いますのでご安心下さい。
受け口は成長とともに、治療が難しくなるためです。受け口とは、噛み合わせが通常とは逆の向きになっていることであり、見た目でいうと下の歯が上の歯よりも前に出ている状態です。反対咬合(はんたいこうごう)、下顎前突症(かがくぜんとつしょう)などとも呼ばれます。受け口の方は食べ物がよく噛めず、聞き取りにくい話し方になります。不正咬合であるから成長が遅れるということは基本的にありませんが、反対咬合特有の顔 貌に劣等感を感じることがあります。このような状態にならないようにするには、早期の対応が重要です。
矯正治療のゴールは、乳歯ではなく永久歯を永く使っていけるように機能的な位置に移動していく事が重要です。個々の歯を移動してよいのは(=マルチブラケット装置を使用した歯の移動)、歯根先端まで完成してからだと思います。根未完成歯を装置で移動すれば、根形成に悪影響を及ぼしてしまいます。また、矯正治療は、ゴールを設定してから、そこからの逆算していきながら治療計 画を 立て進めていきます。 よって、6・7歳で何らかの不正咬合が発見できたからとて、取り敢えず・何となく・今できること 、少しでも 良くなったら 良い、というような動機で始める治療ではありません。
矯正治療は健康な歯の状態であれば30歳からでも40歳以降でも治療は可能です。お子様の歯が生え変わる年齢に治療を始めることで、歯を抜く選択をしなくて良い事がある為、早いほうが良いと考えられる方も少なくはありませんし。しかし歯を抜かなくても済むというメリットがある事は事実ですが、患者 様によって治療開始のベストタイミングというのは異なります。『成長のコントロール』の必要性を検討し、患者様の歯並びの状態や経済的な理由などの問題点を把握したうえで治療を選択する事が大切です。